ГИПЕРПЛАЗИЯ ЭНДОМЕТРИЯ
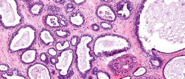
Гиперплазия эндометрия (железистая гиперплазия, железисто-кистозная гиперплазия) — это патологическое доброкачественное разрастание внутреннего слоя матки (эндометрия), приводящее к утолщению и увеличению его объёма. Причины возникновения гиперплазии эндометрия. В основе возникновения гиперплазии эндометрия лежат гормональные нарушения — избыток эстрогенов на фоне дефицита прогестерона. Наиболее часто гиперплазия эндометрия диагностируется у пациенток в пременопаузальном периоде (45-55 лет), когда месячные приобретают…


